티스토리 뷰
사랑니는 사랑을 하게 되면 그 존재감을 들어낸다는 속설이 있습니다. 저의 경우 6개월에 1번씩 검진을 받고 있는데 어느 날 담당 주치의 선생님께서 이제 사랑니를 뽑을 때가 되었다고 하셔서 당일 아무런 준비도 없이 그냥 사랑니와 매복 사랑니를 하나씩 뽑았습니다. 지금 생각해 보면 남은 1개마저 뽑을껄 무서움에 2개만 뽑은 게 후회가 됩니다. 2개를 뽑는다고 해서 고통이 2배인 것은 아니었으니 3개를 뽑아도 고통은 똑같았을 것 같습니다. 턱 주변이 붓고 얼굴이 이상하게 붓고 열감과 가끔 오는 통증 때문에 휴식도 마음 편하게 취하지 못했습니다.
그럼 사랑니는 꼭 뽑아야 할까요? 사랑니 발치 후의 고통과 그 고통을 줄일 수 있는 방법을 알려드리겠습니다.





사랑니란?
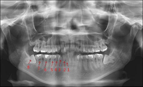
사랑니는 우리 입속에 가장 뒤에 난 어금니를 말하며, 전문용어로 설명해 드리면 제3대구치라고 하며 얼굴을 중심으로 좌우로 8번째 자리하고 있는 치아를 말합니다. 사랑니는 사춘기 이후에 자란다고 합니다. 사춘기에는 여러 가지 감정을 느끼게 되고 그 감정 중 하나가 사랑이라는 감정이지요. 그래서 이 치아를 사랑니라고 부른다고 합니다.
사랑니는 꼭 뽑아야 할까요?
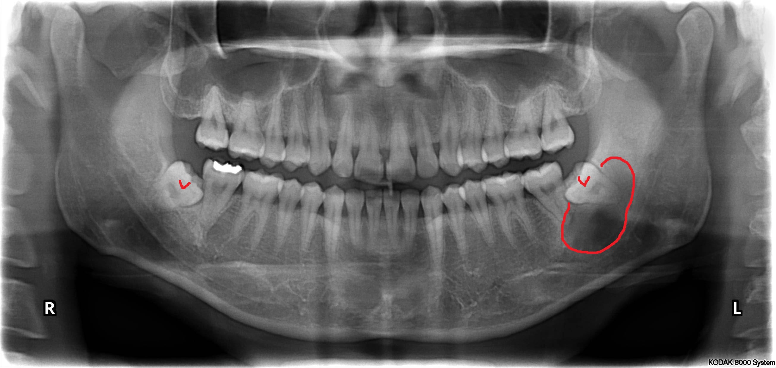
치과 치료를 하면 알 수 있는 것이 치아는 함부로 뽑지 않습니다. 정말 최대한 살려보고 그래도 안 되면 뽑아서 임플란트 등으로 빈자리를 채웁니다. 사랑니는 다른 치아들과 달리 발치를 해야 할 때도 있습니다. 잘 자란 사랑니는 특별한 문제를 일으키지 않아 뽑지 않아도 됩니다. 하지만 대부분의 사랑니는 말썽을 부립니다. 출혈, 염증, 통증 및 악취, 충치 들 여러 가지 문제를 일으킬 확률이 높기 때문에 뽑아야 합니다.






발치 후 통증관리
사랑니를 뽑은 후 빨리 낫게 하면서 불편함을 최소화로 하여 합병증 발생률을 줄이기 위한 예방조치를 알려드리겠습니다.
1. 사랑니를 뽑고 난 후에는 피가 계속 나므로 피가 멈출 때까지 30~60분마다 거즈를 교체해 주고 거즈를 물고 지혈해야 합니다. 그리고 침을 뱉거나 입안을 헹구는 것은 혈액 응고 과정을 방해하기 때문에 하지 말아야 합니다.
2. 빨대 사용도 입안의 압력을 발생 시켜 피가 계속 나게 할 수 있으므로 일주일 정도 사용하지 말아야 합니다.
3. 사랑니를 뽑으면 얼굴이 붓는 증상은 흔합니다. 부기를 가라앉히고 열감을 줄이기 위해서 처음 24시간 동안은 볼 바깥쪽에 냉찜질을 해주세요.
4. 혈압이 상승하거나, 혈액순환이 잘 되는 행동들은 사랑니를 빼고 난 후 출혈을 유발할 수 있습니다. 과격한 운동이나 사우나는 피하는 것이 좋으며 3일 정도 지난 후부터 가벼운 운동을 시작하는 것이 좋습니다.
5. 입을 깨끗하게 유지하는 것이 중요합니다. 하지만 입이 벌려지지 않고 칫솔질하는 게 쉽지는 않을 것입니다. 그래도 양치질은 수술 부위 주변을 부드럽게 하는 것이 좋습니다. 첫날에는 발치 한 부분은 닦지 말고 따뜻한 소금물로 입안을 가볍게 헹궈주세요. 첫날 이후부터는 발치 부위를 피하면서 조심스럽게 양치질을 해주세요.
6. 한동안은 부드러운 음식이나 유동식을 섭취하는 것이 좋습니다. 상처 부위를 자극할 수 있는 매운 음식, 짠 음식, 딱딱한 음식, 치아에 달라붙을 정도로 끈적하거나 뜨거운 음식은 가급적 피하는 것이 좋습니다. 단백질이 많은 음식을 먹는 것도 치료 회복에 도움이 됩니다.
7. 음주와 흡연은 최소 48시간 이상이 지난 후에 해야 상처가 낫는 과정을 방해하지 않습니다.
8. 손가락이나 혀로 부위를 만지지 않아야 하며 박테리아가 유입되어 치유 과정이 느려질 수 있습니다. 궁금하더라도 혀와 손가락으로 치아를 뺀 부분을 만지지 않아야 합니다. 세균이 침투하게 된다면 치유 시간이 더 늘어 날 수 있습니다.
9. 잠을 잘 때에는 머리를 높게 유지하면 부종을 줄여주고 더 빨리 치유 될 수 있습니다.
10. 사랑니를 뽑고 나면 통증과 불편감을 느낄 때는 처방받은 약을 정해진 시간에 복용해야 합니다. 이와 같이 냉찜질도 도움이 됩니다. 그러나 약을 먹은 이후에도 심한 통증을 느낄 경우에는 치과에 내원하여 상태를 살펴봐야 합니다.
11. 사랑니를 뽑은 후에 그 부위에 통증이나 부종 또는 고름 등의 이상 징후가 나타나는지 주의 깊게 관찰하셔야 합니다. 이러한 증상이 나타나면 바로 전문가와 상담하시는 것이 좋습니다.






* 같이 읽으면 좋은 신문기사
국내 80%가 뽑는 사랑니 발치 “뽑아야 할까? 놔둬야 할까?” - 라포르시안
영구 치아 중 가장 마지막에 자라나는 사랑니는 많은 사람들에게 있어서 가장 골치 아픈 치아라고 할 수 있다. 별다른 역할도 하지 못하면서 속만 썩이는 경우가 허다하기 때문이다. 보통 17-18세
www.rapportian.com
사랑니 발치 후 관리 중요한 이유는?
[메디컬투데이=김준수 기자] 성인 기준 사람의 자연치아는 사랑니를 제외하면 총 28개다. 이를 영구치라 하며 어린 시절 유치가 빠지면서 순차적으로 맹출한다. 그중 가장 늦게 자라는 치아가 바
mdtoday.co.kr
‘사랑니’ 몇 살 때 뽑아야 가장 안전할까?
사랑니는 10대 후반에서 20대 중반에 뽑는 게 가장 좋다./사진=클립아트코리아 사랑니는 입 안 가장 깊숙한 곳에 나는 어금니다. 사랑니를 발치하면 통증, 부기 등이 뒤따른다. 사랑니를 뽑아야
health.chosun.com









